Las enfermedades mortales están aumentando
Aueden ser transmisibles ahora, gracias a las vacunas COVID-19

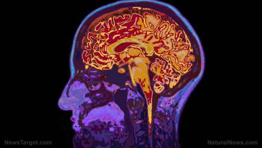
Una enfermedad neurodegenerativa rara y altamente progresiva se ha vuelto más prevalente después del lanzamiento de las vacunas COVID-19. Las enfermedades priónicas, que vacían el cerebro y conducen a una muerte rápida, han aumentado en los últimos tres años.
Según la literatura médica, se han producido muchos casos nuevos después de la administración de vacunas de ARNm contra la COVID-19. Debido a que los priones destruyen rápidamente tipos de proteínas similares, la enfermedad puede ser transmisible si un individuo está expuesto a órganos o sangre ya afectados por priones.
Aumentan los casos de la enfermedad de Creutzfeldt-Jakob después de la vacunación contra el COVID-19
Una de las principales enfermedades priónicas se llama enfermedad de Creutzfeldt-Jakob (ECJ). La enfermedad de Creutzfeldt-Jakob se consideraba tradicionalmente una enfermedad neurológica y degenerativa extremadamente rara, que representaba aproximadamente 1 caso por cada millón de personas. Tradicionalmente, hay aproximadamente 350 casos de enfermedad de Creutzfeldt-Jakob esporádica en los Estados Unidos cada año. Los casos de ECJ representan el 90 por ciento de todas las enfermedades priónicas.
Noticias de última hora: AstraZeneca retirará la vacuna contra el COVID a nivel mundial: la caída de un titán pandémico
En abril de 2023, investigadores médicos documentaron un caso mortal de enfermedad de Creutzfeldt-Jakob después de que el paciente de 68 años recibiera una segunda dosis de la vacuna contra la COVID-19 de Pfizer-BioNTech. Otro caso documentado en septiembre de 2022 involucró a un hombre de 59 años sospechoso de tener la enfermedad de Creutzfeldt-Jakob, que desarrolló síntomas después de múltiples vacunas contra el COVID-19. En un tercer caso investigado, una mujer de 68 años sufrió una rápida pérdida de memoria, cambios de comportamiento, dolores de cabeza y trastornos de la marcha una semana después de la vacunación contra el COVID-19.
Para el 7 de junio de 2022, el Sistema de Notificación de Adversos a las Vacunas (VAERS, por sus siglas en inglés) había capturado 42 casos de ECJ después de la vacunación. Sid Belzberg, un investigador independiente, reunió 60 informes adicionales de enfermedades priónicas después de la vacunación contra el COVID en un sitio web que había creado para recopilar datos sobre los efectos secundarios neurológicos de las inyecciones. Estos 60 casos procedían de una población de aproximadamente 15.000 personas que visitaron el lugar, lo que sugiere una tendencia alarmante.
Estamos construyendo la infraestructura de la libertad humana y empoderando a las personas para que estén informadas, sanas y conscientes. Explora nuestra plataforma de libertad de expresión descentralizada, peer-to-peer, no censurable Brighteon.io aquí. Conozca nuestras herramientas de IA generativa gratuitas y descargables en Brighteon.AI. Cada compra en HealthRangerStore.com ayuda a financiar nuestros esfuerzos para construir y compartir más herramientas para empoderar a la humanidad con conocimiento y abundancia.
Un artículo de 2021 de J. Bart Classen propuso que la proteína de pico en las vacunas de ARNm podría causar enfermedades similares a los priones, porque puede unirse a muchas proteínas conocidas e inducir su mal plegamiento en priones potenciales. Los investigadores encontraron que la secuencia de ARN de la vacuna contiene secuencias específicas que pueden inducir a la proteína de unión al ADN TAR (TDP-43) y a la proteína de unión fusionada en sarcoma (FUS) a plegarse trágicamente en sus formaciones de priones patológicos.
Investigaciones posteriores concluyen que la proteína de pico de la vacuna contiene un componente S1 que puede funcionar como amiloide y, finalmente, formar agregados tóxicos. Esta formación de amiloide conduce en última instancia a la neurodegeneración.
Los investigadores advierten que las vacunas contra la COVID-19 provocan la formación de priones y pueden propagar la enfermedad
Definidas por primera vez en la década de 1920, las enfermedades priónicas se dividieron en tres categorías: esporádicas, hereditarias o adquiridas. La mayoría de los casos (90 por ciento) se clasifican como esporádicos. Los síntomas iniciales incluyen:
falta de coordinación, problemas para caminar y mantener el equilibrio; deterioro del pensamiento, la memoria y el juicio; cambios de conducta; depresión, cambios de humor y ansiedad; confusión; insomnio o cambios en los patrones de sueño; Sensaciones inusuales y cambios en la visión.
En última instancia, estos síntomas conducen a sacudidas musculares involuntarias y a un deterioro mental grave y/o demencia.
ÚLTIMA HORA: Una bebida letal para el desayuno que causa diabetes tipo 2 en millones de personas
Uno de los procesos defectuosos en la fabricación de la vacuna contra el COVID-19 se produce durante la "optimización" del codón. En las vacunas contra la COVID-19, cuando el uracilo se sustituye por metilpseudouridina sintética, se produce un proceso llamado cambio de marco, que provoca un fallo en la decodificación. Esta falla desencadena la producción de proteínas aberrantes fuera del objetivo, o priones.
Los investigadores advierten que estas enfermedades priónicas pueden ser transmisibles ahora, a través de trasplantes de sangre y órganos de individuos afectados negativamente por las vacunas de ARNm. Estas afecciones priónicas infecciosas pueden causar ELA, degeneración lobar temporal frontal, enfermedad de Alzheimer y otras enfermedades neurológicas degenerativas.
Un prión es esencialmente una "partícula infecciosa proteica". Estos agentes potencialmente infecciosos incluyen un material proteico que puede plegarse de formas estructuralmente distintas. Una de las muchas formas en que puede plegarse le permite transmitirse a otras proteínas priónicas, un método similar a una infección viral, pero sin los ácidos nucleicos. En lugar de replicarse a través del ADN o el ARN, los priones tienen una extraña capacidad para encontrar y transferir su estado proteico mal plegado a proteínas similares.
Esto desencadena una reacción en cadena que daña las proteínas saludables y provoca una rápida destrucción del sistema nervioso del individuo. Debido a que los priones pueden sobrevivir a condiciones extremas, no pueden ser esterilizados ni destruidos por las células inmunitarias, por lo que son difíciles de tratar.
Fuente: Natural News
¿Cuál es tu reacción?






